作者简介: 任公平(1981-),男,内蒙古呼和浩特人,主治医师,硕士,研究方向:中西医结合防治老年病。电话:0453-6602056,E-mail:gongpingren@163.com。
通信作者: 孙琳林(1978-),女,黑龙江牡丹江人,副主任医师,副教授,博士,研究方向:中西医结合防治老年病。电话:0453-6602056,E-mail:springlin999@163.com。
目的 观察辣椒素对人大细胞肺癌细胞NCI-H460增殖、迁移与侵袭能力的影响,探讨其抗非小细胞肺癌的可能机制。方法 体外培养NCI-H460细胞,实验组以不同终浓度辣椒素进行处理,对照组加入等体积二甲亚砜,其余条件与实验组完全一致。采用平板克隆形成实验、划痕修复实验、Transwell小室细胞侵袭实验,观察辣椒素对NCI-H460细胞增殖、迁移与侵袭的影响,并采用Western blot分析检测E-cadherin和N-cadherin、Vimentin、Snail的表达。结果 100,200,300 μmol·L-1辣椒素下NCI-H460细胞克隆形成率分别为(91.17±24.38)%,(43.22±12.91)%和(15.71±4.26)%,对照组为(99.53±21.25)%;25,50,100 μmol·L-1辣椒素对NCI-H460细胞迁移率分别为(85.83±17.43)%,(37.92±10.16)%和(21.08±6.39)%,对照组为(93.04±20.23)%;NCI-H460细胞侵袭穿膜细胞数分别为(99.0±18.2),(75.0±17.9)和(52.0±14.1),对照组为(107.0±20.4);中、高浓度辣椒素可显著抑制NCI-H460细胞增殖、迁移与侵袭能力( P<0.05),显著上调E-cadherin表达水平,并显著下调N-cadherin、Vimentin、snail表达水平( P<0.05)。结论 辣椒素能明显抑制NCI-H460细胞增殖,降低迁移和侵袭能力,其机制可能与上调E-cadherin表达并与其下调N-cadherin、Vimentin、Snail表达有关。
Objective To investigate effects of capsaicin on proliferation,migration and invasion of human large cell lung carcinoma NCI-H460 and discuss the possible mechanisms by which capsaicin inhibits non-small cell lung cancer.Methods NCI-H460 cells were cultured in vitro,the test group treated with capsaicin at various concentrations.The control group treated with the same volume of dimethyl sulfoxide, the other experimental methods the same as the test group.Colony formation assay,wound healing assay,and transwell chamber invasion assay were used to detect the effects of capsaicin on proliferation,migration and invasion of NCI-H460 cells.Western blotting was used to detect the protein expression of E-cadherin,N-cadherin,vimentin and snail.Results The rate of colony formation of 100,200,300 μmol·L-1 of capsaicin were (91.17±24.38)%,(43.22±12.91)% and (15.71±4.26)%,respectively,the control group was (99.53±21.25)%.the rate of migration of NCI-H460 cells of 25,50,100 μmol·L-1 of capsaicin were (85.83±17.43)%,(37.92±10.16)% and(21.08±6.39)%,respectively,the control group was (93.04±20.23)%.The number of invasion of NCI-H460 cells of 25,50,100 μmol·L-1 of capsaicin were (99.0±18.2),(75.0±17.9)and(52.0±14.1),respectively,the control group was (107.0±20.4).The middle and high-dose capsaicincould inhibit proliferation,migration and invasion of NCI-H460 cells ( P<0.05),and E-cadherin expression level was significantly up-regulated and N-cadherin,Vimentin,Snail expression level was significantly down-regulated ( P<0.05).Conclusion Capsaicin can inhibit proliferation,migration and invasion of NCI-H460 cells,the mechanism may be related to up-regulation of E-cadherin and down-regulation of N-cadherin,Vimentin and Snail expression levels.
肺癌是我国发病率和病死率占首位的恶性肿瘤,其中80%患者为非小细胞肺癌(non-small cell lung cancer,NSCLC),其治疗效果尚不令人满意,尤其以NSCLC为甚[1]。据预测,到2020年,中国将有550万例新发肺癌患者,病死例数将达400万例[2]。但是即使是在手术切除的早期NSCLC患者中,也有2/3患者存在复发和转移的危险,侵袭和转移是患者死亡和治疗效果不理想的主要原因[3,4],而 E-钙黏蛋白(E-cadherin)和N-钙黏蛋白(N-cadherin)、波形蛋白(Vimentin)、snail被证实是与多种恶性肿瘤转移侵袭相关的蛋白。目前放射治疗(放疗)、化学治疗(化疗)等治疗肺癌的手段已经进入平台期,其分子机制尚不明了,因此探讨肺癌分子水平侵袭转移机制尤为必要。辣椒素(capsaicin)是香草酰胺类生物碱,又名辣椒碱,是辣椒属植物红辣椒的活性成分。近年来的研究显示其具有镇痛、降脂减肥等多种药理活性,在体外对多种肿瘤细胞具有杀伤或抑制作用。虽然辣椒素具有抗癌作用[5],但是其与NSCLC的研究笔者鲜见报道。笔者在本研究观察辣椒素对人大肺癌细胞NCI-H460细胞增殖、迁移与侵袭能力及对E-cadherin和N-cadherin、Vimentin、Snail的影响,为明确辣椒素治疗肺癌提供实验依据。
人大细胞肺癌NCI-H460细胞购自中科院上海细胞库;RPMI-1640培养液购自美国Gibco公司,批号:755295;辣椒素(含量>99%)和Hoechst33342均购自美国Sigma公司,批号分别为100081-201408,B2261;牛血清清蛋白(bovine serum albumin,BSA)购自PAA 公司,批号:715396;二甲亚砜(DMSO)购自美国Amresco公司,批号:3557A37;Transwell小室购自美国Corning公司,批号:31409028;基质胶Matrigel购自美国BD公司,批号:354234; E-cadherin、N-cadherin、vimentin鼠抗人单克隆抗体均购自美国ProMab公司,批号分别为:bs-1475R,bs-1419R,bs-1489R;snail兔抗人多克隆抗体购自美国Santa Cruz公司,批号:A5316;HRP标记抗鼠IgG二抗及HRP标记抗兔IgG二抗购自上海碧云天生物技术有限公司,批号:BSE-0410G。
NCI-H460细胞保存在含有10% BSA的RPMI-1640营养培养液(含 L-谷氨酰胺,青霉素100 U·mL-1和链霉素100 U·mL-1),37 ℃、5% CO2及饱和湿度下培养。当NCI-H460细胞达80%汇合度时,用0.05%胰蛋白酶/0.02%乙二胺四乙酸(EDTA)消化。按照细胞密度2×106个细胞/孔接种于超低吸附6孔板中,37 ℃、5% CO2及饱和湿度下培养48 h。收集贴壁细胞经EDTA处理制备成单细胞悬液,然后用RPMI-1640培养液洗涤细胞。收集对数生长期细胞,备用。
辣椒素溶解于DMSO,配成300 μmol·L-1溶液,-20 ℃保存。临用时,以完全培养液将辣椒素稀释到所需浓度。
参考文献[6]方法,取对数生长期NCI-H460细胞,将实验组细胞加入终浓度为100,200,300 μmol·L-1辣椒素[7],37 ℃、5%CO2及饱和湿度下培养24 h。对照组加入等体积DMSO,其余条件与实验组完全一致。调整细胞密度至1×104个·mL-1,取细胞悬液200 μL接种于平皿中,加入培养液至10 mL,37 ℃、5%CO2及饱和湿度下培养。10 d后终止培养,弃去培养液,磷酸盐缓冲液(PBS)洗涤2次,95%乙醇固定15 min,PBS洗涤1次。结晶紫染色10 min,清水冲洗后晾干。每组接种3个平皿。肉眼计数可见的克隆数,计算克隆形成率。克隆形成率(%)=(克隆数/接种细胞数)×100%
取对数生长期NCI-H460细胞,按照细胞密度每孔5×104个接种于6孔板中,待细胞单层生长铺满板底时,用移液枪头沿培养板底部划“一”字型划痕,加入终浓度为25,50,100 μmol·L-1的辣椒素,37 ℃、5% CO2及饱和湿度下培养24 h。对照组加入等体积DMSO,其余条件与实验组完全一致。倒置显微镜下检测细胞向致伤区迁移的相对距离并摄像,计算细胞迁移率。细胞迁移率(%)=(1-药物组细胞迁移面积/对照组细胞迁移面积)×100%。每组实验重复3次。
参考文献[8]方法,Transwell小室用前铺上0.5% Matrigel膜基质50 μL,37 ℃孵育过夜。取对数生长期NCI-H460细胞,加入终浓度为25,50,100 μmol·L-1辣椒素,37 ℃、5% CO2及饱和湿度下培养24 h。对照组加入等体积DMSO,其余条件与实验组完全一致。调整细胞密度5×104个·mL-1,分别取200 μL接种于Transwell小室内室,并在Transwell小室下室加入含有10% BSA的完全培养液。孵育24 h后,取出Transwell小室去除未穿膜细胞。甲醇固定15 min后,再以10 mg·mL-1Hoechst33342染色30 min。OlympusIX51荧光显微镜计数穿过微孔膜的细胞数。每组细胞随机计数视野10个,取其平均值。实验重复3次。
取对数生长期的NCI-H460细胞,加入终浓度为25,50,100 μmol·L-1辣椒素,37 ℃、5% CO2及饱和湿度下培养24 h。对照组加入等体积DMSO,其余条件与实验组完全一致。用细胞裂解液(20 mmol·L-1 Tris-HCl,1.5% Triton X-100,150 mmol·L-1 NaCl,10%甘油,1 mmol·L-1 Na4P2O7,50 mmol·L-1 NaF,1 mmol·L-1 PMSF)和蛋白酶抑制药(5 μmol·L-1 AEBSF-HCl,5 μmol·L-1 EDTA,10 mmol·L-1 leupeptin,1.5 mmol·L-1 E-64,pH值=7.4)裂解细胞后,收集裂解液,Bradford法测定蛋白质含量。取蛋白质20 μg加入2×上样缓冲液,95 ℃变性5 min。随后进行7.5%SDS-PAGE凝胶电泳。电泳后,电转至0.45 μm硝酸纤维素膜,用含5%脱脂奶粉PBST(25 mmol·L-1,Tris pH值=7.5,150 mmol·L-1 NaCl,0.1% 聚山梨酯20)封闭1 h,分别加入E-cadherin抗体、N-cadherin抗体、vimentin抗体、snail抗体(1:1 000稀释)4 ℃孵育过夜,PBST洗涤3次,每次5 min。加入HRP标记的二抗(1:2 000稀释)室温孵育2 h,PBST洗涤3次,每次5 min。按同样的方法与β-actin抗体孵育。电致化学发光(electrochemiluminescence,ECL)试剂显色,通过Bio-Rad凝胶成像进行目的条带的表达检测及分析。蛋白的相对表达强度=目标蛋白表达强度/β-actin蛋白表达强度。
采用SPSS17.0版软件进行数据分析。正态计量数据用均数±标准差(
平板克隆形成实验结果显示,辣椒素终浓度为200,300 μmol·L-1时,克隆形成率分别为(43.22±12.91)%和(15.71±4.26)%,与对照组(99.53±21.25)%比较,差异有统计学意义( P<0.05),明显抑制NCI-H460细胞克隆形成能力,说明辣椒素对NCI-H460细胞的增殖有抑制作用,并呈浓度依赖性。辣椒素终浓度为100 μmol·L-1时,NCI-H460细胞克隆形成率(91.17±24.38)%,与对照组比较,虽然降低,但是对NCI-H460细胞的增殖无明显毒性作用,差异无统计学意义( P>0.05)。因此,本研究后续实验均以辣椒素终浓度≤100 μmol·L-1进行。
划痕修复实验结果显示,划痕24 h后,辣椒素终浓度为50,100 μmol·L-1时,对NCI-H460细胞迁移具有明显抑制作用,并呈浓度依赖性,细胞迁移率分别为(37.92±10.16)%和(21.08±6.39)%,与对照组(93.04±20.23)%比较,差异有统计学意义( P<0.05)。辣椒素终浓度为25 μmol·L-1时,NCI-H460细胞迁移率(85.83±17.43)%,与对照组比较,虽然降低,但差异无统计学意义( P>0.05)。结果见图1。
Transwell小室细胞体外侵袭实验结果显示,辣椒素终浓度为50,100 μmol·L-1时,NCI-H460细胞侵袭穿膜细胞数均显著下降,并呈浓度依赖性,分别为(75.0±17.9)和(52.0±14.1),与对照组(107.0±20.4)比较,差异有统计学意义( P<0.05)。辣椒素终浓度为25 μmol·L-1时,NCI-H460细胞侵袭穿膜细胞数(99.0±18.2),与对照组比较,虽然减少,但差异无统计学意义( P>0.05)。结果见图2。
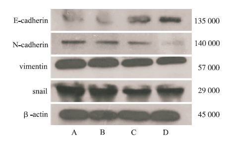
Western blot分析结果表明,辣椒素终浓度为50,100 μmol·L-1时,显著升高E-cadherin表达水平,并呈浓度依赖性,与对照组比较,差异具有统计学意义( P<0.05)。辣椒素终浓度为50,100 μmol·L-1时,显著降低N-cadherin、vimentin、snail表达水平,并呈浓度依赖性,与对照组比较,差异具有统计学意义( P<0.05或 P<0.01)。辣椒素终浓度为25 μmol·L-1时,E-cadherin和N-cadherin、vimentin、snail表达水平与对照组比较,差异无统计学意义( P>0.05)。结果见图3,表1。
| 表1 4组NCI-H460细胞的E-cadherin、N-cadherin、vimentin、snail相对表达强度 Tab.1 Relative expression intensity of E-cadherin,N-cadherin,Vimentin,snail in four groups of NCI-H460 cells |
辣椒素可通过多种途径在体内外发挥抗癌作用,如诱导人结肠癌HCT116细胞和胰腺癌BxPC-3细胞凋亡[5,9],抑制小细胞肺癌细胞H69和H82增殖[10]。另外还有报道称,辣椒素可下调血管内皮生长因子(vascular endothelial growth factor,VEGF)而抑制NSCLC血管生成[11]。然而辣椒素对人大细胞肺癌NCI-H460细胞是否具有抑制作用目前尚不明了。因此,笔者以不同终浓度辣椒素作用于NCI-H460细胞,观察辣椒素对NCI-H460细胞体外增殖的影响。结果发现,辣椒素对NCI-H460细胞增殖有一定的抑制作用。此结果进一步说明辣椒素可作为抗NSCLC选择药物。
肺癌因其病死率高已经引起学者的广泛关注,侵袭和转移是导致癌症患者死亡的主要原因[12,13]。研究证实,上皮-间质转变(epithelial-to-mesenchymal transitions,EMT)可改变细胞的行为,在大多数情况下,使细胞转移能力增强,是促进癌症细胞原位侵袭和远处转移的一个关键因素[14]。因此,本研究通过划痕修复实验和Transwell小室细胞体外侵袭实验,观察辣椒素对NCI-H460细胞迁移与侵袭能力的影响。结果发现NCI-H460细胞迁移与侵袭能力随着辣椒素浓度增加而逐渐降低,提示辣椒素对NCI-H460细胞抑制作用可能与抑制其迁移与侵袭能力有关。
EMT的主要特征包括细胞形态从上皮型转化为间质型,上皮细胞标志分子E-cadherin下调和间质细胞标志分子N-cadherin,vimentin的上调。E-cadherin和N-cadherin,vimentin是EMT的重要标志物。E-cadherin是一种依赖Ca2+的细胞间跨膜黏连糖蛋白分子,主要存在于上皮组织中,参与细胞间的连接,具有抑制癌症侵袭转移的作用。E-cadherin的表达下调或抑制和功能丧失都可以启动EMT,癌症细胞经过这种细胞表型的转化获得更高的侵袭性[15,16]。当E-cadherin的表达下降,N-cadherin,vimentin表达增高时,肿瘤细胞骨架系统排列发生变化,细胞生物学性状改变,黏附功能下降,易于脱离原发灶,向周围组织侵袭或转移[17]。本研究证实,NCI-H460细胞中E-cadherin低表达,而N-cadherin和vimentin高表达,提示NCI-H460细胞迁移和侵袭与E-cadherin、N-cadherin、vimentin密切相关。在对E-cadherin表达调控的研究中发现,snail是EMT中的主要调节蛋白,是含有锌指结构的DNA结合蛋白。snail能够通过转录调节抑制E-cadherin基因的表达,引起上皮细胞向间质细胞表型的转变,诱导EMT的发生[18]。本研究结果亦证实,NCI-H460细胞中snail高表达,提示NCI-H460细胞迁移和侵袭与snail也密切相关。鉴于E-cadherin、N-cadherin、vimentin和snail与NCI-H460细胞迁移和侵袭的密切关系,本研究Western blot分析结果进一步显示,辣椒素能够上调E-cadherin表达而下调N-cadherin、vimentin、snail表达。故此可以推测,辣椒素上调NCI-H460细胞E-cadherin表达,下调N-cadherin、vimentin、snail表达可抑制NSCLC转移和侵袭能力。
综上所述,辣椒素可抑制NCI-H460细胞增殖,迁移和侵袭能力,具体机制可能与其上调NCI-H460细胞E-cadherin表达,下调N-cadherin、vimentin、snail表达有关。至于辣椒素是否通过其他机制抑制NCI-H460细胞增殖,迁移和侵袭能力,例如Akt信号通路,本研究将进行进一步研究。
(志谢:本研究在数据统计分析过程中得到黑龙江幼儿师范高等专科学校那辉老师的热情指导和帮助,特此表示感谢!)
| [1] |
|
| [2] |
|
| [3] |
|
| [4] |
|
| [5] |
|
| [6] |
|
| [7] |
|
| [8] |
|
| [9] |
|
| [10] |
|
| [11] |
|
| [12] |
|
| [13] |
|
| [14] |
|
| [15] |
|
| [16] |
|
| [17] |
|
| [18] |
|

