红花黄色素注射液对急性心肌梗死模型大鼠低氧诱导因子和血管内皮生长因子的影响* |
| 王晓敏,高增光,席晓甜,魏江涛 |
|
Effects of Safflor Yellow Injection on HIF and VEGF mRNA of Rats with Acute Myocardial Infarction |
| Xiaomin WANG,Zengguang GAO,Xiaotian XI,Jiangtao WEI |
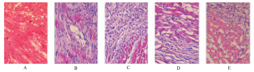
| 图1 5组大鼠梗死心肌病理特征(HE,×200) A.假手术组;B.模型对照组;C.红花黄色素3 d组;D.红花黄色素7 d组;E.红花黄色素14 d组 |
| Fig.1 Pathological changes in the hearts of five groups of rats with myocardial infarction(HE,×200) A.sham operation group;B.model control group;C.safflor yellow groups at d3;D.safflor yellow groups at d7;E.safflor yellow groups at d14 |
![]() |