复方仙草颗粒对肾脏缺血-再灌注损伤大鼠的保护及对细胞凋亡的影响* |
| 陈壮,黄国东,向少伟,王龙龙,陆世龙,张亚萍 |
|
Protection Effect of Compound Xiancao Granules on Rat Kidney Ischemia-reperfusion Injury and Their Influence on Cell Apoptosis |
| Zhuang CHEN,Guodong HUANG,Shaowei XIANG,Longlong WANG,Shilong LU,Yaping ZHANG |
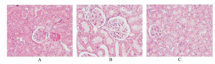
| Fig.1 3组大鼠肾脏组织HE染色结果(×200)(A.假手术组;B.模型对照组;C.复方仙草颗粒组) |
| HE staining on the kidneys of three groups of rats(×200)(A.sham operation group;B.model control group;C.compound Xiancao granules group) |
![]() |