罗格列酮对哮喘小鼠气道炎症因子及MUC5ac蛋白表达水平的影响* |
| 杨红霞,张建勇,赵建军,陈玲,郑飞彦,毕海,张红 |
|
Effects of Rosiglitazone on Airway Inflammatory Factors and MUC5ac Protein Expression in Asthmatic Mice |
| Hongxia YANG,Jianyong ZHANG,Jianjun ZHAO,Ling CHEN,Feiyan ZHENG,Hai BI,Hong ZHANG |
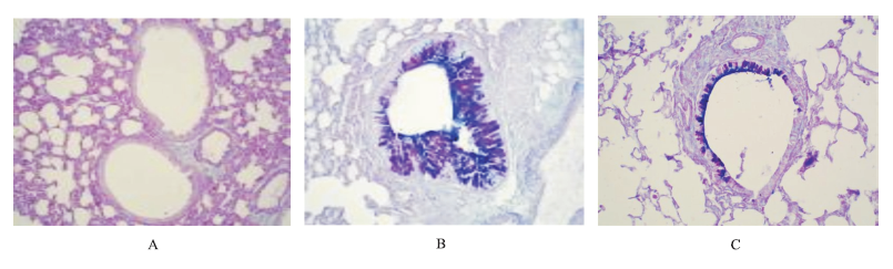
| 图1 3组小鼠肺组织AB-PAS染色(×200) A.正常对照组; B.哮喘组;C.罗格列酮组。 |
| Fig.1 AB-PAS staining of lung tissue in three groups of mice(×200) A. normal control group; B. asthma group; C. rosiglitazone group. |
![]() |