朝鲜当归提取物对小鼠脑缺血-再灌注损伤神经的保护作用及其机制* |
| 程永杰,赵子瑞,李晓妮,吉海杰 |
|
Neuroprotective Effects and Its Mechanism of Extract of Angelica gigas Nakai on Erebral Ischemia/Reperfusion Injury in Mice |
| Yongjie CHENG,Zirui ZHAO,Xiaoni LI,Haijie JI |
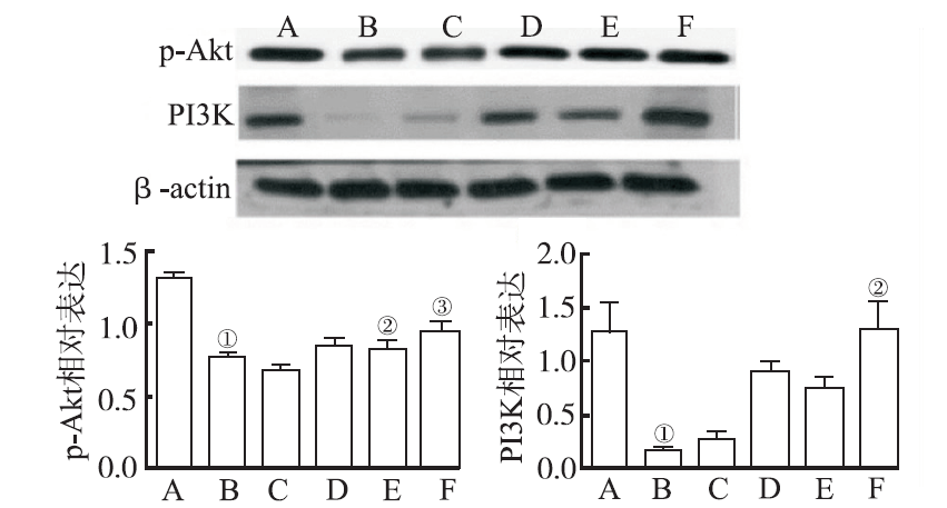
| 图3 6组小鼠Akt和PI3K表达比较 A.假手术组;B.模型对照组;C.朝鲜当归10 mg·kg-1组;D.朝鲜当归25 mg·kg-1组;E.朝鲜当归50 mg·kg-1组;F.朝鲜当归100 mg·kg-1组;①与假手术组比较,P<0.01;②与模型对照组比较,P<0.05;③与模型对照组比较,P<0.01。 |
| Fig.3 Comparison of the expression of Akt and PI3K among six groups of mice A.sham operation group; B.model control group; C.Angelica gigas Nakai 10 mg·kg-1 group; D.Angelica gigas Nakai 25 mg·kg-1 group; E.Angelica gigas Nakai 50 mg·kg-1 group; F.Angelica gigas Nakai 100 mg·kg-1 group; ①Compared with sham operation group, P<0.01 ; ②Compared with model control group,P<0.05;③Compared with model control group, P<0.01. |
![]() |