肿瘤坏死因子超家族成员14调控炎症反应和脂质代谢的作用机制* |
| 袁小媚,顾清,刘莉,王文艳 |
|
Mechanism of Tumor Necrosis Factor Superfamily 14 on Inflammation and Lipid Metabolism |
| Xiaomei YUAN,Qing GU,Li LIU,Wenyan WANG |
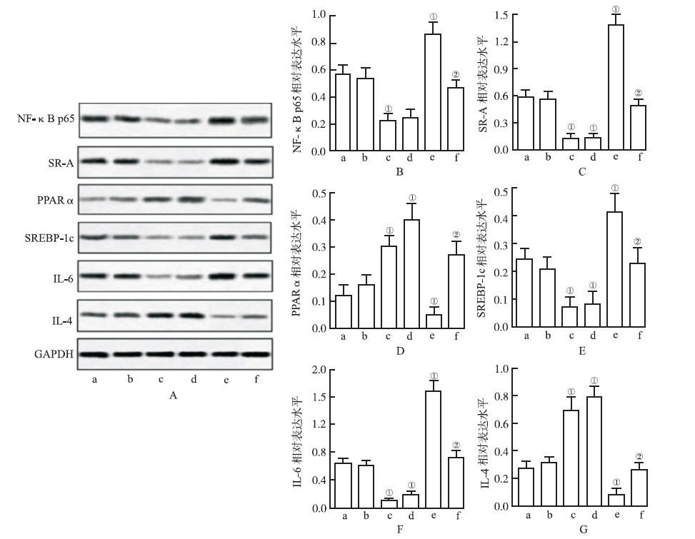
| 图4 LIGHT在NF-κB信号通路调节炎症和脂质代谢中的作用( a.阴性对照组;b.LIGHT组;c.oxLDL组;d.LIGHT+SN50 组;e.LIGHT+oxLDL组;f.LIGHT+oxLDL+SN50 组。 A.NF-κB p65、SR-A、PPARα、SREBP-1c、 IL-6 和 IL-4表达;B.NF-κB p65定量;C.SR-A定量;D.PPARα定量; E.SREBP-1c定量;F.IL-6定量;G.IL-4定量。①与oxLDL比较,P<0.05;②与oxLDL+LIGHT组比较,P<0.05。 |
| Fig.4 Role of LIGHT in the regulation of inflammation and lipid metabolism via NF-κB signal pathway( a.oxLDL group;b.LIGHT group;c.Ox -LDL group;d.LIGHT+SN50 group;e.LIGHT+ oxLDL group;f.LIGHT+ oxLDL +SN50 group.A.Expression of NF-kB p65, SR-A, PPARα, SREBP-1c, IL-6 and IL-4;B.NF-kB p65 level;C.SR-A level;D.PPARα level;E.SREBP-1c level;F.IL-6 level;G.IL-4 level.①Compared with oxLDL group, P<0.05;②Compared with oxLDL +LIGHT group, P<0.05. |
![]() |