葱白提取物对心肌梗死模型大鼠心肌纤维化及TGF-β1与Smad2蛋白表达的影响* |
| 赵辉,邢若丹,谢婷婷,马威,杨文强,余志华,田立群,吴勇宏,柯于鹤 |
|
Effects of Allium Stalk Extract on Myocardial Fibrosis via TGF-β1 and Smad2 Protein Expression in Rat Model of Myocardial Infarction |
| Hui ZHAO,Ruodan XING,Tingting XIE,Wei MA,Wenqiang YANG,Zhihua YU,Liqun TIAN,Yonghong WU,Yuhe KE |
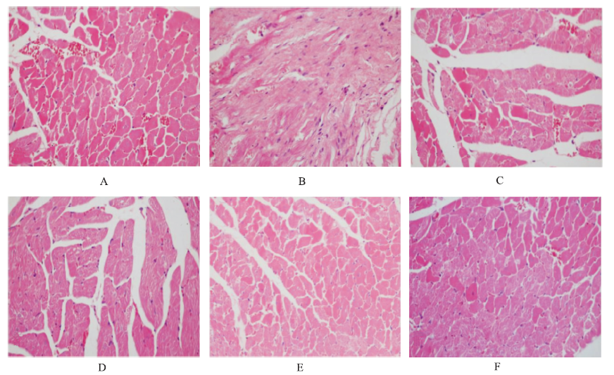
| 图1 6组大鼠心脏组织HE染色结果(×400) A.假手术组;B.模型对照组;C.葱白小剂量组;D.葱白中剂量组;E.葱白大剂量组;F.培哚普利组。 |
| Fig.1 HE staining results of six groups of rat heart tissue(×400) A.sham operation group;B.model control group;C.low-dose group of Allium Stalk;D.medium-dose group of Allium Stalk;E.high-dose group of Allium Stalk;F.perindopril group. |
![]() |