他克莫司联合糖皮质激素治疗Vogt-小柳原田综合征17例* |
| 马培茹,杨华静,刘羊钰,李水,陈建斌 |
|
Effect of Tacrolimus Combined with Glucocorticoid in the Treatment of 17 Cases of Vogt-Koyanagi Harada Syndrome |
| Peiru MA,Huajing YANG,Yangyu LIU,Shui LI,Jianbin CHEN |
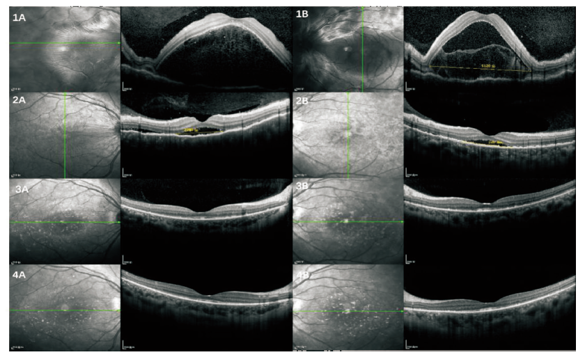
| 图2 TAC联合GC治疗前后OCT变化情况 A和B分别为同一患者不同时期左眼和右眼的OCT情况。1A、1B为治疗前,左眼、右眼均表现为黄斑区视网膜神经上皮层广泛脱离;2A、2B为治疗后出院时,左眼、右眼黄斑区视网膜神经上皮层脱离范围较前缩小;3A、3B为治疗3个月时,左眼、右眼黄斑区视网膜神经上皮脱离基本恢复;4A、4B为治疗6个月时,左眼、右眼黄斑区视网膜神经上皮脱离完全恢复。 |
| Fig.2 OCT changes before and after TAC combined with GC treatment A and B are OCT of the left and right eyes of the same patient at different times,respectively.1A and 1B:extensive detachment of the retinal nerve epithelium in the macular area was observed in both left and right eyes before treatment;2A and 2B:when discharged from hospital after treatment,ranges of retinal neuroepithelial detachment in the macular area in both left and right eyes were smaller than that before treatment;3A and 3B:after 3 months of combination therapy,the retinal neuroepithelial detachment in the macular area of the left and right eyes was basically recovered;4A and 4B:after 6 months of combination therapy,the retinal neuroepithelial detachment in the macular area of the left and right eyes was completely recovered. |
![]() |