壮药双路通脑方对缺血-再灌注脑损伤大鼠神经元自噬和凋亡的影响* |
| 梅小平,翟阳,王凯华,滕红丽,郑光珊,杨鹏,邹敏 |
|
Effects of Zhuang Medicine Shuanglu Tongnao Decoction on Autophagy and Apoptosis of Neuronal Cells in Rats with Cerebral Ischemia/Reperfusion Injury |
| Xiaoping MEI,Yang ZHAI,Kaihua WANG,Hongli TENG,Guangshan ZHENG,Peng YANG,Min ZOU |
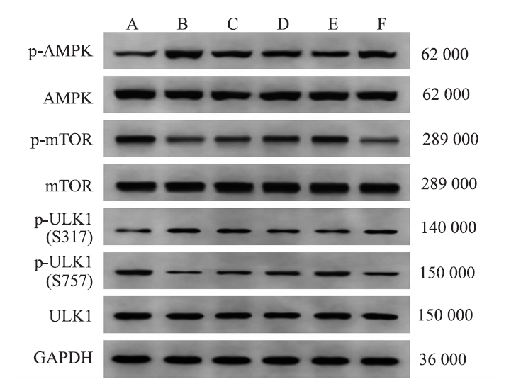
| 图5 6组大鼠海马组织AMPK/mTOR信号通路相关蛋白表达 A:假手术组;B:模型对照组;C:小剂量双路通脑方组;D:中剂量双路通脑方组;E:大剂量双路通脑方组;F:大剂量双路通脑方+AICAR组。 |
| Fig.5 Expression of AMPK/mTOR signaling pathway related proteins of hippocampal tissue in six groups of rats A:sham operation group;B:model control group;C:low-dose Shuanglu Tongnao decoction group;D:medium-dose Shuanglu Tongnao decoction group;E:high-dose Shuanglu Tongnao decoction group;F:high-dose Shuanglu Tongnao decoction+AICAR group. |
![]() |