棕榈酸对人卵巢颗粒细胞脂质代谢和自噬的影响* |
| 宁薇,聂方钦,张哲 |
|
Effect of Palmitic Acid on Lipid Metabolism and Autophagy in Human Ovarian Granulosa Cells |
| Wei NING,Fangqin NIE,Zhe ZHANG |
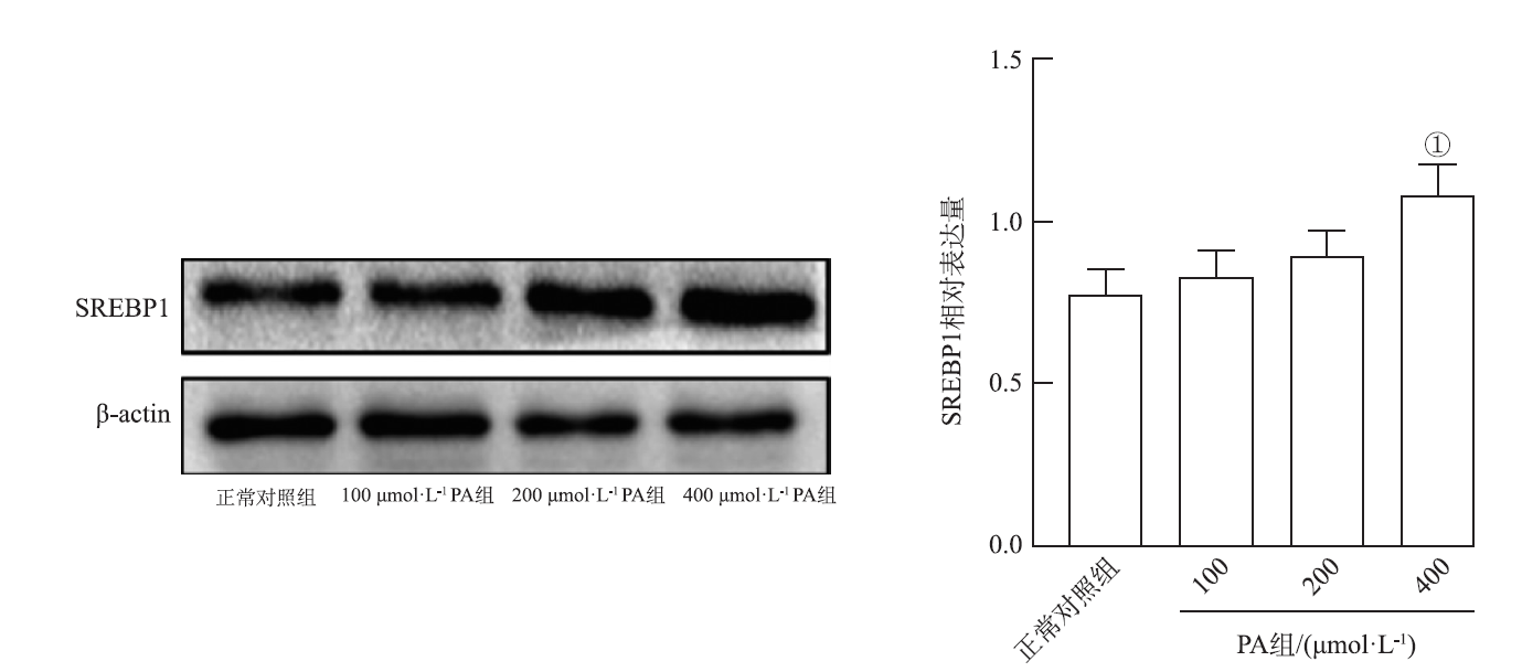
| 图2 不同浓度PA对KGN细胞SREBP1蛋白表达影响($\bar{x}±s$,n=3) ①与正常对照组比较,t=4.52,P<0.05。 |
| Fig.2 Effects of different concentrations of PA on SREBP1 protein expression in KGN cells($\bar{x}±s$,n=3) ①Compared with normal control group,t=4.52,P<0.05. |
![]() |